Radiosarajevo.ba
Radiosarajevo.ba
90,2 FM
Otvori meni
Vijesti
  • Bosna i Hercegovina
  • Regija
  • Svijet
  • Crna hronika
  • Lokalne teme
  • Euphoria
Biznis
  • Ekonomija
  • Kompanije
Metromahala
  • Lica
  • Teme
  • Kultura
  • Ja mislim
  • Manjine.ba
  • Gdje izaći
Magazin
  • Zanimljivosti
  • Muzika/Film/Lektira
  • Tech
  • ShowBiz
  • Recepti
  • Zdrava probava
  • Život i stil
  • Forwardusha
Sport
  • Nogomet
  • Košarka
  • Rukomet
  • Tenis
  • Auto-moto sport
  • Zimski sportovi
  • Ostali sportovi
Auto-moto
  • Auto-Moto zanimljivosti
  • Noviteti
  • Testovi
  • Tuning
Multimedia
  • Foto
  • Video
  • Podcast S
Infografike
  • Političke infografike
  • Ostale infografike
Radio
  • Emisije
  • Aktuelno

/ neobične priče

Zaradila više od 40.000 KM snimajući videe u kojima - pušta vjetar!
26.08.21. 21:11

Zaradila više od 40.000 KM snimajući videe u kojima - pušta vjetar!

Dok se većina ljudi srami kada ispuštaju vjetar ili pokušavaju zadržati dok ne dođu kući, jedna djevojka po imenu Lush Botanis podijelila je informaciju kako zarađuje hiljade dolara objavljujući video zapise isp...

Poznati bloger preminuo nakon što je 40 dana gladovao zbog izazova
04.05.21. 11:42

Poznati bloger preminuo nakon što je 40 dana gladovao zbog izazova

Poznati ruski bloger Vitalij Vigranovski (38) preminuo je nakon 40 dana tokom svog neobičnog izazova, odnosno gladovanja. Vigranovski je na svom Youtube kanalu najavio da će pokušati da izdrži 40 dana bez hrane, prenosi Blic.rs....

Pogledajte šta su pronašli u kesi supermarketa
18.04.21. 12:59

Pogledajte šta su pronašli u kesi supermarketa

Alexander White i njegova djevojka Amelie Neate u ponedjeljak su obavili kupovinu u supermarketu Aldi u Sydneyu, nakon čega su se uplašili vidjevši zmiju u pakovanju zelene salate. Zmija je bila duga oko 20 cm...

Rijetka pojava: Majka zatrudnila dok je već bila trudna
18.04.21. 11:05

Rijetka pojava: Majka zatrudnila dok je već bila trudna

Majka Rebecca Roberts (39) i otac Rhys Weaver (43), su na ultrazvuku kojeg su uradili u drugom mjesecu trudnoće vidjeli bebu Noah, koju su pokušali začeti više od godinu dana. Međutim, samo nakon tri mjeseca trudnoće, No...

Doktori otkrivaju: Ovo su najčudnije stvari koje su čuli od ljudi na samrti
28.09.20. 09:49

Doktori otkrivaju: Ovo su najčudnije stvari koje su čuli od ljudi na samrti

Dok neki slučajevi ukazuju na zagrobni život, drugi su dokaz nevjerojatne ljudske volje i duha. Od nebrojenih riječi koje čovjek izgovori tijekom svog života, samo su dvije jedinstvene - prve i posljednje riječi. Posljednje riječi najče&sc...

Kako su momci iz GSS-a uljepšali dan Eni, djevojci s invaliditetom
18.07.20. 21:58

Kako su momci iz GSS-a uljepšali dan Eni, djevojci s invaliditetom

Amina Kučuk podijelila je, kako sama kaže, pozitivnu priču u mračnom dobu, priču o nepokolebljivosti i hrabrosti njene prijateljice Ene Kapetanović, djevojke sa invaliditetom koja je imala želju da pomjera granice... Njenu priču prenosimo...

Sulejmanovi golubovi od Sarajeva do Ustikoline stignu za 12 minuta
15.12.19. 13:13

Sulejmanovi golubovi od Sarajeva do Ustikoline stignu za 12 minuta

Sulejman Kunovac iz Ustikoline već se punih pola stoljeća bavi uzgojem golubova. Sve je počelo još u djetinjstvu, kada mu je brat poklonio jednu od ptica.  "Bez toga ne mogu. To, ko se počne baviti time, radi dok je živ. To je...

FvckUp Nights: 2019. godinu završavamo sa novim pričama o (ne)uspjehu
22.11.19. 19:14

FvckUp Nights: 2019. godinu završavamo sa novim pričama o (ne)uspjehu

Decembar je pravo vrijeme za donošenje novogodišnjih rezolucija i sumiranje svega onoga što nam se dogodilo u prethodnoj godini. Zato, peto izdanje sarajevskog FvckUp Nightsa donosi četiri nove priče o nesupjehu i nauče...

Mostarac u rodnom selu ratne 1992. zasadio šumu, danas je ogromna
23.09.19. 10:54

Mostarac u rodnom selu ratne 1992. zasadio šumu, danas je ogromna

U aprilu 1992 godine Marko Romić iz Mostara zasadio je u svom rodnom selu par stotina sadnica jele, bora, ariša, na parceli od koje nisu imali neku posebnu korist. Njegovo rodno selo Požetva nalazi se u općini Konjic, ali na samom r...

Neobična priča: Hercegovac oženio Indijanku i s njom živi u napuštenom selu
22.07.19. 17:35

Neobična priča: Hercegovac oženio Indijanku i s njom živi u napuštenom selu

Neobična, ali pozitivna priča stiže s krajnjeg juga BiH. U jednom od napuštenih trebinjskih zaselaka Podštirovnika, na tromeđi u Zubcima, djedovinu je obnovio Dragan Vučurević, a iz Meksiko Sitija doveo suprugu Indijanku. Nap...

Tvrđavu u Teočaku sagradili po naredbi proklete kraljice Jerine
07.07.19. 20:10

Tvrđavu u Teočaku sagradili po naredbi proklete kraljice Jerine

Na obroncima planine Majevica, u sjeveroistočnom dijelu Bosne, smještena je srednjevjekovna tvrđava Teočak u naselju koje je kroz historiju igralo važnu ulogu, a čiji su ostaci sačuvani i dan-danas.  Predaja govori da su d...

Mačak mjesecima na istom mjestu čekao vlasnika koji se nikada nije vratio
02.05.19. 14:30

Mačak mjesecima na istom mjestu čekao vlasnika koji se nikada nije vratio

Priče o napuštenim ljubimcima koji se ne pomaknu s mjesta na kojem ih je ostavio bivši vlasnik već su nam dobro poznate. Ali moramo naglasiti kako se gotovo uvijek radi o psima. Psi su ti koji su lojalni, čovjekovi najbolji p...

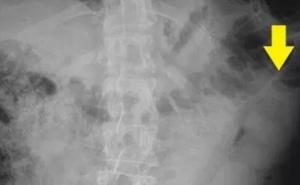
Ljekari muškarcu izvukli umjetni penis dugačak 58 cm
09.09.18. 16:01

Ljekari muškarcu izvukli umjetni penis dugačak 58 cm

Muškarac se crvenog lica pojavio u bolnici nakon što je 24 sata pokušavao sam riješiti problem. Rekao je ljekarima da pati od blagih bolova u trbuhu, a da je osim toga sasvim u redu. Rendgen je pokazao "dugo i v...

Nigerijac sahranio oca u BMW-u pa izazvao gnjev na društvenim mrežama
13.06.18. 08:09

Nigerijac sahranio oca u BMW-u pa izazvao gnjev na društvenim mrežama

Bogati sin, identifikovan samo kao Azubuike, izgubio je oca, kome je davno obećao da će jednog dana imati luksuzni automobil. Ispunio je obećanje, platio 65.000 funti i u njega smijestio mrtvog oca, piše Daily Mail. Meanwhile #Ni...

Neobične kuće koje su vlasnici odbili prodati i za milione dolara
08.06.18. 08:10

Neobične kuće koje su vlasnici odbili prodati i za milione dolara

Širom svijeta ima na stotine primjera preživjelih domova, zaglavljenih između drugim zgradama... Oni pripadaju vlasnicima koji su odbili prodati svoju imovinu velikim kompanijama i za milione dolara iako vrijede mnogo manje, koje su...

/ Najčitanije

1

Nova odluka PIO/MIO: Poznato koliko će iznositi opći bod za izračun penzija u FBiH u 2026.

Prije 1 dan | Bosna i Hercegovina
2

Brzo varivo od 4 sastojka: Sprema se za 20 minuta i poboljšava probavu prirodno

Prije 2 dana | Recepti
3

Nakon toplih dana stiže preokret: BH Meteo objavio novu prognozu, očekuje se i snijeg

Prije 2 dana | Bosna i Hercegovina
4

Verbalni sukob u sudnici | Ramo Isak povisio ton, Pašić mu uzvratio: 'Ne deri se, međede jedan'

Prije 1 dan | Bosna i Hercegovina
5

Ova biljka privlači zmije: Ako je posadite u vrtu, u tren oka gmizavci će okupirati dvorište

Prije 2 dana | Život i stil
6

Mirza Vranj plakala u sudnici: 'Ne mogu se ostvariti kao majka, a Pašić mi je psovao nerođenu djecu'

Prije 1 dan | Bosna i Hercegovina
7

Podignuta optužnica: Službenici Islamske zajednice pronevjerili 150 hiljada KM?

Prije 2 dana | Bosna i Hercegovina
8

Potvrđeno za Radiosarajevo.ba: Podnesena krivična prijava protiv Sebije Izetbegović

Prije 2 dana | Bosna i Hercegovina
9

Kamere ga snimile: Veličanstveni suri orao viđen u blizini BiH

Prije 2 dana | Video
10

Četnici se okupili u Višegradu: Pjevali "sprem'te se" i zajedno s ministrom RS-a veličali zločince

Prije oko 22h | Bosna i Hercegovina
11

Daily Mail javlja: Mojtaba Khamenei pao u komu, prebačen na intenzivnu njegu. Ostao i bez noge

Prije 2 dana | Svijet
12

Astrolozi tvrde: Drugi dio 2026. donosi preokret za ova 4 horoskopska znaka

Prije oko 16h | Zanimljivosti
13

Mart je mjesec rasta spatifiluma: Obavite ove male trikove i uživajte u cvjetnoj raskoši

Prije 1 dan | Život i stil
14

Zvijezde im se napokon smiješe: Ovi znakovi će doživjeti veliki procvat u martu

Prije 1 dan | Zanimljivosti
15

Ovo su nove cijene goriva u Federaciji: Oglasilo se Ministarstvo trgovine

Prije 2 dana | Bosna i Hercegovina

/ Najkomentiranije

1

Isti obrazac u Beogradu i Sarajevu: Inicijativa mladih o sistemskoj korupciji i nemaru

28.02.26. 15:45 | Regija
2

Katar: Stravičan snimak kada ljudi bježe od projektila koji dolazi s neba

28.02.26. 16:00 | Svijet
3

Broj poginulih djevojčica raste: Najmanje 63 učenice preminule, skoro 100 osoba povrijeđeno

28.02.26. 16:00 | Svijet
4

Generalni sekretar UN-a osudio napade na Iran i njihovu odmazdu: "Vratite se za pregovarački sto"

28.02.26. 16:12 | Svijet
5

Najnovija informacija: U napadima ubijena dva visoka funkcionera u Iranu

28.02.26. 16:15 | Regija
6

Iranski ministar Abbas Araghchi: "Ajtolah Hamnei je živ, koliko je meni poznato"

28.02.26. 16:28 | Svijet
7

Pogledajte video snimke: Nove eksplozije u Dubaiju, tvrdi se da je pogođen poznati hotel

28.02.26. 16:34 | Svijet
8

Džanan Musa sa suprugom izbjegao napad Irana na Emirate: Poletjeli samo sat i po prije prve granate

28.02.26. 16:48 | Košarka
9

Radnik iz penala u 90. minuti savladao Velež

28.02.26. 16:55 | Nogomet
10

Knjiga Dragana Bursaća izašla iz štampe: "Ubijte gada" je zbirka stvarnih prijetnji i uvreda

28.02.26. 16:57 | Teme
11

Oglasila se Islamska zajednica u BiH: "Naša moralna obaveza je upozoriti na zlo rata i sukoba"

28.02.26. 17:05 | Bosna i Hercegovina
12

Stećci ugrađeni u zidove privatne kuće: "Simbol našeg primitivizma"

28.02.26. 17:14 | Teme
13

Dan nezavisnosti | Kanada čvrsto uz BiH: Na desetine čestitki za Emira Ramića i IGK-a

28.02.26. 17:25 | Bosna i Hercegovina
14

Prošetali smo Vilsonovim šetalištem: Građani na suncu uživali u posljednjem danu februara

28.02.26. 17:45 | Foto
15

Dok Bliski istok stoji na ivici rata: Donald Trump sa luksuznog imanja prati napade na Iran

28.02.26. 17:53 | Svijet
Radiosarajevo.ba Radiosarajevo.ba
Marketing Impressum Kontakt Privatnost Uslovi korištenja
Copyright 2007. - 2026. radiosarajevo.ba. Sva prava pridržana. Zabranjeno preuzimanje sadržaja bez dozvole izdavača.
Copyright 2007. - 2026. radiosarajevo.ba.
Sva prava pridržana. Zabranjeno preuzimanje sadržaja bez dozvole izdavača.